患者様の訴えを把握し、デジタルX線、口腔内カメラ、模型を用いて細かく説明させていただきインフォームドコンセント(説明と同意)を徹底します。また出来るだけ歯を抜かず、削らず、保存する方向で治療を心がけていきます。
また、お子様にはレーザーによる予防治療、虫歯治療、食事治療、ブラッシング治療、フッ素塗布を行ない生涯自分の歯(白い歯)のままでいられるような予防を推奨します。

歯周病治療
Perio
歯周病とは?
38歳以上の成人のうち5人に4人以上が歯周病にかかっていると言われ、歯周病は歯を失う大きな原因になっています。
不十分な歯磨きにより、歯と歯肉の境目に細菌の集まりである歯垢が停滞し歯肉が赤く炎症を起こします。やがて歯を支える組織にまで炎症を起こし骨が破壊されていきます。
最終的には歯が抜け落ちてしまいます。ほとんどの場合は、自覚症状のないまま進行するので早期発見と早期治療が重要です。

歯周病が全身に及ぼす影響
歯周病菌が産出する毒性物質が歯肉の血管から入り、様々な病気を引き起こしたり悪化させる原因となります。例えば、血糖値を下げるインスリンの働きを悪くさせたり(糖尿病)、早産、低体重児出産、肥満、血管の動脈硬化(脳梗塞、心筋梗塞)にも関与しています。
また、歯周病菌の中には、誤嚥により気管支から肺にたどり着くものもあり、高齢者の死亡の原因である誤嚥性肺炎の原因となっています。
全身の健康のためにも歯周病はできるだけ早く治療し、予防していくことが大切です。
検査・診断
歯周病の初期では、症状がほとんど見られないので歯科医院で検査を受けないと正確に診断できません。歯周病の検査方法には、プロービング検査(歯周ポケットの深さ)、レントゲン検査、歯垢の付着率、動揺度検査などがあります。
歯周病の初期治療
- ブラッシング指導
- 初期の歯周病であれば適切なブラッシングだけでも症状の改善が可能です。
一人ひとりに適した磨き方をお伝えします。歯間ブラシやデンタルフロス、うがい薬などの使い方もお伝えします。 - スケーリング・ルートプレーニング
- 歯ブラシでは取り除けない歯垢や歯周ポケット内の歯石などを専用の器具を使ってきれいに取り除きます。この処置を行うことで炎症が改善し、歯肉をひきしめ歯垢がつきにくい状態にします。
超音波音波スケーラー
超音波のよりチップの先を振動させ、歯肉の縁上についた歯石を取り除きます。
チップの先を交換することにより歯肉の中についた歯石の除去にも使用します。

手用スケーラー
歯肉の中についた歯石や超音波スケーラーで取り残した歯石を取り除き歯根表面をきれいにします。

歯周外科治療
歯肉を切開して歯周ポケットの奥深くに付着した歯石や感染組織を取り除きます。
失われた組織の状態によっては、手術の際に歯周組織再生材料(エムドゲインゲル)という手術治療を補助するための歯科用の材料が使われることもあります。
歯周組織再生療法(エムドゲイン療法)
エムドゲインとは、スウェーデンのビオラ社で開発された豚の歯胚組織を使用した歯周組織再生用材料です。その主成分は、子供の頃、歯が生えてくる時に重要な働きをするタンパク質の一種です。
世界44か国以上、約200万症例、使用されていますが、エムドゲインを原因とする副作用は1例もありません。
エムドゲインゲルを歯周病によって破壊された歯の周囲の骨に塗布すると、エナメル基質タンパク質によって歯が生えるときに近い環境が再現され、歯周組織の再生が促されます。
-

術前
深い歯周ポケット、セメント質と歯根膜、歯槽骨の欠損 -

局所麻酔
-

切開
-

軟部組織の剥離
-

歯根面の徹底清掃
(肉芽組織の除去、スケーリング、ルートプレーニングなど) -

必要に応じて根面処理
(リン酸、クエン酸など) -

清掃した歯根面へのエムドゲイン®ゲル溶液の塗布
(血液•唾液の汚染のない状態で行う) -

縫合
-

手術日から2~6週間後
-

治療後
クリニカルアタッチメントと新整骨の獲得
メンテナンス
歯周病は再発しやすい病気です。適切なブラッシングと定期的なメンテナンスをすることで再発を防ぐことができます。
小児歯科
Child Dentistry
当院ではお子様の健康と成長を応援します。大人でも、恐い歯科治療をお子様が恐がるのは当たり前のことだと思います。そんなお子様に歯科医院に自分から行きたいと言われるような歯科医院を目指しています。
口を開けたがらず泣いて嫌がられるお子様には無理をせず、まず慣れていただくことから始めることによって、成長に伴い無理のない治療を行ってまいります。6歳ごろになって生えてくる永久歯をむし歯にさせないことその頃までに生活環境(ブラッシング指導、定期健診、食事指導、むし歯治療、予防充項、フッ素など)を整えてあげることが大切です。その後も、定期健診を行うことによって、生涯、自分の歯(白い歯)のままでいられるよう応援します。

矯正歯科
Orthodontics
当院はお子様の矯正治療も行っています。歯のすき間や出っ歯などの見た目の問題を解消し口元をキレイにすること以外にも歯並びが悪いと歯磨きも磨き残しが出来やすくなり虫歯の原因にもなります。歯並びを良くすると歯磨きがしやすくなり歯の周りの歯周組織もキレイになるので歯周病予防にもつながります。お子様の矯正治療は永久歯に生え変わる時期が適切といわれています。適切な時期に治療をしないと将来的に顎骨にも影響を及ぼしますのでお子様の成長や健康を考えて治療を行っていきます。
マウスピース矯正 ― アソアライナー
従来の矯正ではブラケットとワイヤーを使用していましたが当院が使用するアソアライナーはブラケットとワイヤーを使用しない透明のマウスピースです。食事の時には取り外す事もでき、ワイヤー矯正のような調整直後の強い痛みがないのも特徴です。患者様の症状でアソアライナーの適用が可能かどうかと料金も異なってきますのでお気軽にご相談下さい。
ホワイトニング
Whitening
タバコやコーヒー等で歯の表面に付着した色素を、歯を傷つけることなく歯を白い状態に戻す治療をホワイトニングと言います。
今までは、12分を3回照射でしたが、今回の新しい照射機は6分を3回照射になって、グッと短時間になりました。
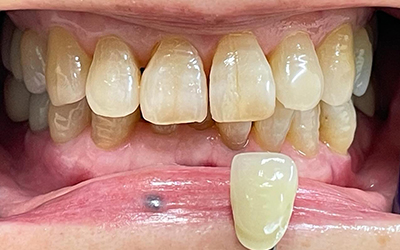
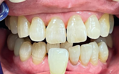
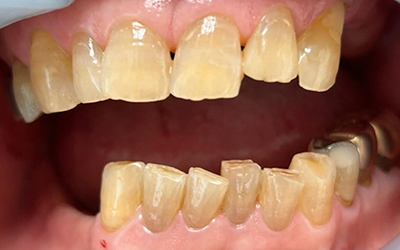
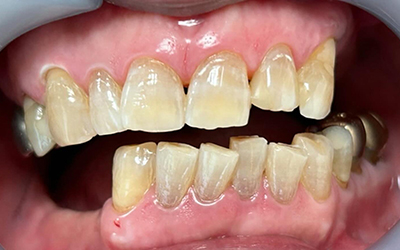
症例

[ 治療前 ]

[ 治療後 ]

[ 治療前 ]

[ 治療後 ]
費用
| オフィスホワイトニング | 19,800円(税込) |
|---|---|
| ホームホワイトニング | 25,000円(税込) |
リスク
- 保険外診療になります。
- ホワイトニングの効果は個人差があります。
- 知覚過敏の症状が出る場合がございます。
インプラント
Implant
虫歯などの歯の病気や怪我などで歯を失った場合に人工の歯を取り付ける治療法です。メリットとしては高天然の歯と同じ感覚で噛むことができ、周りのを傷つけないなどがあります。注意点としては保険外治療になります。

治療の流れ
-

診断し現状を把握してから治療の計画をご説明します。
-

歯が抜けた所にインプラントを埋入します。
-

土台がしっかりできましたら人口の歯をかぶせます。
リスク
外科手術が必要になりますので手術後は神経麻痺や痛み、腫れ、出血等が発生する場合がございますが大半は2~3日でおさまります。
